Staffed with highly skilled personnel, JAX Scientific Research Services provide essential support to our faculty labs, allowing them to apply the most advanced technologies to their research.
Staffed with highly skilled personnel, JAX Scientific Research Services provide essential support to our faculty labs, allowing them to apply the most advanced technologies to their research.

The Cellular Engineering Laboratory delivers precise, custom genome-edited human stem cell lines through application of CRISPR/Cas technologies and genome-wide SNP array analysis for rigorous quality control. We offer a diverse array of allele types, including knock-outs, knock-ins, single-base variants, and conditional loss-of-function. Our comprehensive services extend beyond editing to encompass consultation and training in induced pluripotent stem cell (iPSC) use, iPSC differentiation, and CRISPR-based genome editing.

The Center for Biometric Analysis (CBA) offers state-of-the art in vivo mouse phenotyping spanning four major biological domains. Our domain-specific services include Metabolic Phenotyping, Neurobehavioral Phenotyping, Physiology and Cardiovascular Phenotyping, which are complemented by Pre-clinical Imaging. Dedicated expertise in each domain enables deep interrogation of phenotypes and the measuring of extremely subtle signs of disease. The CBA has the capacity to perform phenotyping at high throughput and at scale.

Computational Sciences (CS) works collaboratively with investigators to apply advanced computational and analytical approaches to complex, data-intensive biological problems. We support the development of scientific software applications that facilitate access, visualization, and sharing of data and algorithms with the scientific community. CS also engages in the development of new scientific projects and computational platforms.

The Flow Cytometry Service has extensive expertise in flow cytometric analysis and offers state-of-the-art instrumentation, including the capability to measure more than 30 parameters simultaneously with up to 28-color, 6-way cell sorting. Services include sample preparation, antibody labeling of cells, and acquisition and analysis of cytometric data. Sterile cell sorts can be performed. The Service also offers instrument training and consultation on antibody panels and experimental design.

Genetic Engineering Technologies provides technical consultation, instrumentation, and centralized facilities to perform complex genetic engineering of mice from inbred and specialty strains. Projects are taken from concept to delivery of live mice. Services include allele design, construct development, embryonic stem cell (ESC) development, zygote and blastocyst microinjection, electroporation, and genotyping of founder mice. We also offer human induced pluripotent stem cell (iPSC) and mouse ESC cultures and viral vector services.

The Genome Technologies Laboratory (GT) offers genomic, epigenomic, and transcriptomic analyses, supporting JAX investigators and collaborating researchers. Equipped with cutting-edge short- and long-read sequencing platforms from Illumina, PacBio, and Oxford Nanopore Technologies coupled with laboratory automation, GT provides end-to-end support from nucleic acid extraction to data generation. By emphasizing flexibility and quality, GT ensures support of diverse scientific research projects.

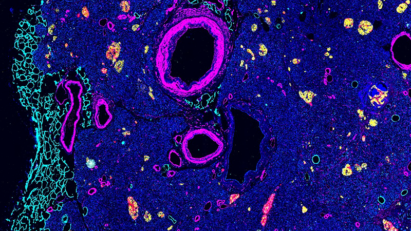
Histopathology Sciences (HPS) combines services in chemistry and hematology, electron microscopy, histology, and necropsy into one comprehensive resource for the preparation and analysis of a variety of specimens. HPS customizes protocols to meet the specific needs of investigators in a cost-efficient manner. Automated capabilities in state-of-the-art multiplexed RNA in situ hybridization and high-sensitivity immunoassays are available, as well as slide preparation for spatial omics studies including lipidomics, metabolomics, proteomics, and transcriptomics.

Library Sciences manages a specialized collection of over 14,000 digital and print resources to support cutting-edge research and education in genetics, genomics, and biomedicine. We also offer services such as interlibrary loans, scholarly communication assistance, and training in EndNote, PubMed, and other databases. Our historical archive preserves JAX’s legacy, including the papers of George Davis Snell, a pioneer in mouse genetics and 1980 Nobel Prize recipient.

The Microscopy Service offers standard widefield microscopy; advanced fluorescence microscopy, including confocal and spinning disk; two-photon and fluorescence lifetime microscopy (FLIM); longitudinal observation or live-cell imaging, including imaging of cells under various environmental conditions (including hypoxia); image analysis, including AI-based image processing, and 3D visualization; high-throughput cell-based screening; histological slide scanning; and automated fluorescence slide scanning.

Protein Sciences (PS) provides services and expertise related to antibody production, protein production/isolation, and mass spectrometry for the characterization of proteins and small molecules. We employ multiple platforms for the high-throughput characterization of proteins, metabolites, and lipids. Additionally, PS offers development of customized methods in each of these areas to meet investigator needs.

Reproductive Sciences provides a variety of services and expertise that facilitate the efficient creation and management of mouse strains and models for JAX investigators and external clients. Services include rapid expansion of lines using in vitro fertilization (IVF), rederivation of imported lines by embryo transfer, embryo cryopreservation, and management of cryopreserved spermatozoa. We also develop, refine, and implement assisted reproductive technologies (ART) to manage mouse colonies more effectively.

Scientific Instrument Services ensures performance of scientific instrumentation in research labs and Scientific Services facilities. We repair and maintain scientific equipment; oversee shared scientific equipment and facilities; provide computer-aided design of custom devices and fabricate these devices via 3D printing or CNC milling; support automated liquid handling robots and develop assays for automation; provide laboratory glassware washing and sterilization functions; and assist in capital equipment planning.

The Single Cell Biology Laboratory applies cutting-edge technologies to interrogate molecular and cellular features at single-cell resolution. Services include high-throughput single-cell transcriptomic, epigenetic, and multiomic profiling; spatial transcriptomics; multiplexed RNA in situ hybridization and hyperplexed antibody-based imaging of analytes in situ; and automated, imaging-based high-content screening of cellular phenotypes for large-scale assays. UConn investigators can access our services through the JAX–UConn Single-Cell Genomics Center agreement.

The Transgenic Genotyping Service (TGS) provides high-quality, accurate genotyping of JAX mice and develops reproducible genotyping assays. By utilizing continuous process improvement and multiple automation platforms, TGS optimizes high-throughput genotyping to decrease turnaround time and expense. Our mission is to produce reliable and actionable genotyping results as quickly and inexpensively as possible for JAX investigators and external clients.

Xenografting and Live Imaging Services (XLIS) provides expertise in the development and characterization of xenograft models. Customizable offerings include orthotopic or heterotopic models, cell line-derived (CDX) or patient-derived (PDX) models for both solid and liquid tumors. XLIS offers execution of efficacy studies in both standard and genetically diverse backgrounds. Additionally, XLIS performs live in vivo imaging of bioluminescence and fluorescence for longitudinal studies.